Tuesday, October 26, 2021

Halloween Trivia

 

Did you know pumpkin are fruit and not vegetables?

Did you know superstition says a person born on Halloween has the ability to see and talk to the spirits?

Did you know the original name for candy corn was chicken feed?

Did you know in medieval Europe owls were thought to be witches?

Did you know Harry Houdini died on Halloween Night 1926?

Tuesday, October 5, 2021

Neuromyelitis Optica

 








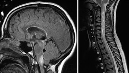
Image: MRI-Of Neuromyelitis Optica www.health.uconn.edu

Neuromyelitis Optica (NMO) is a disorder of the central nervous system it primarily affects the nerves of the eye (optic neuritis) and the spinal cord (myelitis), but can also attack the brain. NMO It is also known as the Devic disease. It occurs when the body's immune system reacts against its own cells in the central nervous system.

NMO sometimes appears after an infection or can be associated with another autoimmune condition. NMO is often misdiagnosed as multiple sclerosis (MS). The incidence of NMO is up to 10 times higher in females than males.

The damage to the optic nerves produces swelling and inflammation that causes pain and loss of vision; the damage to the spinal cord causes weakness or paralysis in the legs or arms, loss of sensation, and problems with the bladder and bowel function.

NMO is a relatively rare disease, with only 4000 cases in the US, so there are no large-scale studies of treatment. NMO does not appear to respond to standard medication for MS. It is important to correctly identify this diagnosis so that effective treatments can be used early in the disorder.

Diagnosis:

1. Testing for NMO and MS May include an MRI (magnetic resonance imaging) skin tissue inflammation of the spinal cord - The difference is NMO scans show long segments of inflammation and with MS the findings tend to show short segments of inflammation.

2. Another difference in diagnosis is in the cerebrospinal fluid with NMO shows a greater increase in white blood cells than in MS.

3. The test for Oligoclonal bands, these are proteins produced by the immune system to fight off invaders, like bacteria or viruses. This test is often positive in MS and negative in NMO.

4. A blood test known as NMO-lg6 blood test is positive in 70% of NMO patients and generally negative in patients with MS.

Treatment for an acute attack of NMO is intravenous steroids followed by oral steroids. If the steroids are not effective, a treatment known as plasmapheresis is used. This therapy cleans the antibodies from the blood by circulating them through a machine, similar to the way a dialysis machine works.

Longer-term treatment medications include:

  • Steroids
  • Immune suppressing medications
  • Chemotherapeutics
There is always the possibility that a single acute attack could leave someone with a deficit such as blindness, NMO has cumulative effects. Each subsequent attack leads to additional disability.

Prognosis is not good for NMO. Long-term disability and mortality rates are high. In 2019 the food and drug administration had approved three new medications for trials in the treatment of an NMO. These three medications are looking promising, none of the newly approved treatments caused any major side effects in patients with NMO.

#eyegotcha

#PittsburghOptomotrist

#PittsburghEyeCare



Sources:

www.mayoclinic.org

www.mssociety.org

www.clevelandclinic.org

Different Types of Pink Eye

Pink eye or conjunctivitis is inflammation of the eyes clean membrane or conjunctiva. Causing redness, itching, swelling and discharge. Symp...